Additional Pictures - Chapter 7.1

     
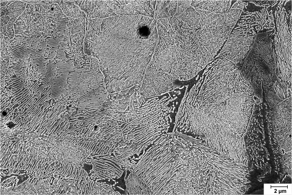
Here is fully developed pearlite for a steel that must be close to the eutectoid composition.
The specimen is from a nondescript sword fragment from the Nydam "treasure"
The "zebra structure is well-developed, The spacing between the cementite lamellae is around
0.15 µm or smaller and thus completely invisible in an optical microscope
with a resolution limit around 1 µm
   
Pearlite, fine spaced, Nydam sword, SEM
Link to text Source: The picture was taken by one of the indispensable grad students
(Jan-Hendrik Morjan in this case) while doing a Master thesis under my supervision.
     

With frame With frame as PDF

go to Nydam

go to Etching Steel

go to 7.1.2 A Lustrous Surprise

go to Light Microscopes

© H. Föll (Iron, Steel and Swords script)