9.5 Cast-Iron

9.5.1 General Remarks

Cast-iron seems to hold no interest for connoisseurs of sword blades. Well, yes - but wootz steel, with a carbon content around 2 %, is just at the edge of what one usually associates with cast-iron: steel with a carbon content of 2 % to about 4,5 %.
That's why I will give cast iron a quick look. Let's see what we can learn with respect to sword blades.
Having made it so far, you are now chomping at the bit and ready for a quick look at the relevant part of the phase diagram. Here it is:
 
Phase diagram for cast-iron
Iron - carbon phase diagram with the cast-iron part.
     
Let's make two things absolutely clear before we start:
  1. Cast-iron is not (pure) iron that has been cast as a liquid into some mould but an iron alloy!
  2. There is no such thing as plain carbon cast-iron! Carbon is always the major alloying element in cast-iron but there are always others, too.
Having made that clear I will from now on write cast iron without a hyphen, like everybody else. There are two basic kinds of cast iron and it is important to make this distinction:
  1. The liquid stuff that comes out from a blast furnace (or any other furnace if it gets hot enough). This kind of cast iron is also know as "pig iron" and contains all kinds of "dirt" besides a high carbon concentration.
  2. Some intentionally engineered iron alloy with a low melting point and thus always with > 2 % carbon as one of several alloying elements.
The first kind is the raw material we use for steel making since the - roughly - 15/16th century. The second kind is now a "High-Tech" material used for many demanding applications. In between these extremes is everything you can think of.
In order to get an idea of what the "cast iron" alloy family contains, let's start with the simple and purely theoretical situation of having iron and more than 2 % carbon in a state close to nirvana. That is what the phase diagram above describes. This fictitious material can serve as a starting point just as well as it did for the fictitious material we call "plain carbon steel" if the carbon concentration is lower than 2 %.
First I need to make a confession: the phase diagram shown above is actually not showing the real nirvana states! All this time I was deceiving you! Sorry - but no real damage was done so far.
So what is the truth and nothing but the truth about the iron-carbon phase diagram? Here it comes: True nirvana states do not call for mixtures of ferrite or austenite and the iron carbide (Fe3C) that was named cementite but for iron and pure carbon in the form of graphite.
An old science module actually contained all of that. It also shows the true iron-carbon phase diagram, and if you activate the link you see that it hardly differs from the "untrue" iron-cementite phase diagram.
The point of all this is:
     

There is never graphite in steel.
There might be graphite in cast iron.

     
As long as we have low carbon concentrations, or (plain carbon) steel in other words, it is always cementite that forms first. It is only metastable, yes, and should eventually decay into graphite and iron. But it will not do so in your or my lifetime and that of our descendants; just like our diamonds.
For high carbon concentrations, i.e. cast iron, this is different. We might find graphite instead of cementite in there, in particular if some other elements like silicon (Si) are also present.
Allright - now let's look at the phase diagram in the 2 % carbon - 6.67 % regime and go with cementite and not graphite for a first shot. The major features are.
For a composition of 4.3 % carbon we have an eutectic point at 1.130 oC (2.066 oF). Use the link to refresh your memory about that. A melt with this composition will directly solidify into an "eutectic" mix of austenite and cementite. It is similar to what happens at the eutectoid point for steel, where we get ferrite and cementite. The resulting mix in this case we called pearlite and treated it as a (pseudo) phase in its own right.
Same thing here. Solidification at the eutectic point produces a mix of austenite and cementite, and we treat that as a (pseudo) phase. We call that pseudo-phase ledeburite, after Adolf Ledebur, an eminent German iron and steel engineer and scientist in the second half of the 19th century. Ledeburite might be expected to form the typical eutectic zebra pattern but that is not what it does. The zebra pattern forms because repartioning the carbon (or any other element) is difficult at lower temperatures. It is not all that difficult when a liquid solidifies. We might rather expect dendritic structures in this case. Whatever - nobody has ever seen ledeburite directly because it only exists at high temperatures.
So far so easy. But now we decrease the temperature to below the transformation temperature at 723 oC (1333 oF). What will happen? Well - the phase diagram does tell: The austenite (g) and cementite mix that we call ledeburite transforms into a pearlite - cementite mix.
Only the austenite needs to transform into pearlite or ferrite plus cementite. The primary cementite already present at high temperatures in the ledeburite need not do anything. We still call the pearlite - cementite pseudo-phase that we get a low temperatures at 4.3 % carbon concentrations ledeburite or, if you are a stickler for details, transformed ledeburite or ledeburite II (the high-temperature variant is then ledeburite I). We might expect pearlite grains embedded in cementite since the mixture is cementite-rich.
What happens if we are not at the precise eutectic concentration of 4.3 % carbon? What always happens: for lower carbon concentrations ("hypoeutectic") we have a decomposition into pearlite and ledeburite II, and for higher concentrations ("hypereutectic") the decomposition produces ledeburite II and cementite. That is a bit academic, however. We know already that what you get depends very much on how fast you cool.
If we cool not all that slow, the transformation of the austenite into pearlite becomes difficult and we encounter all the phenomena we found for steel (and possibly some more). With increasing cooling rate the pearlite gets narrower and less well developed, and eventually we find bainite. For very large cooling rates we might even get martensite.
Contrariwise, for very slow cooling and high carbon concentrations we might now encounter the real nirvana structure, which is not cementite but graphite - see above.
So what does ledeburite II look like at room temperature? If we cool slowly, we would expect pearlite grains, developed from the primary austenite and embedded in the primary cementite. Why should they be embedded? Look at the carbon concentration. A pure Fe - 4.3 wt% C alloy corresponds to about 18 at % carbon. Since every carbon atom binds three iron atoms to form cementite, 54 % of the remaining 82 % iron atoms are used up and we have only about 30 at % "free" iron left in a ledeburite eutectic. Most everything is cementite and that's why we expect the ferrite to be completely embedded in cementite.
Ledeburite types of cast iron, or essentially pearlite embedded in cementite, will fracture right through the cementite, giving the fracture surfaces a whitish appearance. That's why this kind of cast iron is called white cast iron.
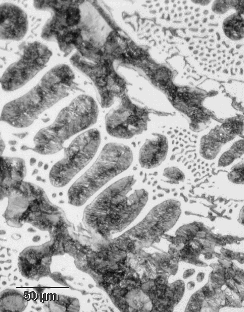
It is not easy to find good microstructure pictures of eutectic pearlite- cementite ledeburite II. The reason is simple and mentioned above: there is practically no such thing as a pure Fe - 4.3 wt% C alloy, slowly cooled.
Here is the best picture I could find:
   
Microstructure of white cast iron
Source: Internet article of Miguel Angel Yescas-Gonzalez and H. K. D. H. Bhadeshia; from the PhD thesis work of Miguel Angel Yescas-Gonzalez. With friendly permission.
     
We see a cut through an original austenite dendrite that has turned to pearlite. It is embedded in whitish cementite. In addition we have small flecks of pearlite because the sample actually had a carbon content of 3.6 % carbon (and 0,1 % silicon) and thus was hypoeutectic and needed to form some more pearlite
Two properties of (about eutectic) "white cast iron" are quite clear:
  1. It is perfectly brittle! With a contiguous matrix of brittle cementite it just can't help that.
  2. It has the lowest possible melting point of all iron-carbon, or better iron-cementite alloys. The stuff melts at a mere 1130 oC (2066 oF)!
It actually has the lowest melting point of pretty much all iron alloys for low alloy element concentrations in the % range. I haven't checked all 80+ possibilities but I am rather sure that you will not find an "easy" iron alloy with a lower melting point. And that's why cast iron has been and still is of large technical importance:
     
   

Cast iron can be easily cast!

     
Big surprise! Cast iron allows for easy casting!. That's why this alloy is called "cast iron", meaning "castable" iron, after all. But seriously: the melting points of gold or bronze / brass are 1064 oC (1948 oF) and (1000 - 900) oC ((1832 - 1652) oF), respectively. If you can handle that, you can, with a little bit more effort, also handle cast-iron. Provided of course that you can make the stuff.
The ancient Chinese, it seems, were the only ones who could produce cast iron some 2 500 years ago and found ways to use it. They used it to make plowshares, pots and art plus a few weapons on the side. In the West, cast iron could be made rather early too, but it wasn't used much before the 15th century. Cast iron was used (of course) for making cannons, cannon balls, and lots of other stuff. In 1390 the first recorded casting of a cast-iron cannon took place in Frankfurt/Main, Germany. More to that later.
The low melting point is certainly a huge advantage. But the stuff is brittle and that is a disadvantage. Brittleness certainly limits applications - no sword blades, for example - but it doesn't prevent them completely. Natural stones, glass or concrete are brittle too, but quite useful for making pyramids, windows, microscopes or huge bridges with the stuff. Your toilette seat is perfectly brittle but can take a lot of punishment! Why? Because while those materials cannot take tensile (pulling) stresses very well, they have no problems with compressive (squeezing) stress. Same for cast iron.
Besides engineering your cast iron product for mostly compressive stresses, there are two more ways to deal with that unwanted brittleness:
  1. Make your cast iron parts massive. Cannon barrels, bath tubs, stove parts, whatever. If they are massive enough, they can take some tensile stress, in particular if is is not concentrated on a "point". Take a thick glass window. When you hit it with a hammer (point stress), it might break. But try to break it by pushing with your hand! You can't.
  2. Do what Material Scientists always do to improve properties: mix in this and that, and optimize processing. In other words: don't use a pure Fe - C alloy but add some more beneficial elements. Then cool slowly, quickly or run a temperature profile - whatever works best.
The first point is rather trivial and you can see how it's done whenever you look a some cast iron object. Hint: look down when you walk the street or watch your wife when she uses that special heavy pan.
     
Man hole cover in Copenhagen
Cast iron man hole cover in Copenhagen.
     
In Copenhagen the elephants symbolize beer, of course (look up "elephant beer" yourself). We know that iron technology and beer always goes together (casting makes you really thirsty), inspiring the Copenhagians to produce gully art. The artist even appreciated that the bulk intake of beer produces certain needs; just look at the details.  
Generalizing a bit, we note that all cast irons have low melting points, allowing for easy casting. And almost all are brittle. There are other good points, too, that all cast irons share to some extent:  
Cast iron is dirt cheap! There is no metal or anything else with comparable properties that is as cheap as (unsophisticated) cast iron. It could replace expensive brass in many applications, especially in early steam engines. Whole bridges were made from the stuff in England as early as 1770.  
Cast iron is rather hard and thus resists deformation. That makes it a good material for structural applications where large (compressive) forces / stresses are encountered. For the same reason it has an excellent wear resistance.  
It hardly rusts - in contrast to most steels. That is quite remarkable and extremely useful.
Some cast irons (not white cast iron) have an excellent machinability - even so you need to be a bit careful about that.
What will alloying and processing do for us with respect to these (and other) properties? A lot, to be sure. There are almost limitless possibilities and I will not go very deep into this. All I'm going to do in the next sub-chapter is to look briefly at grey cast iron and some modifications of that extremely potent material.
     

With frame Back Forward as PDF

© H. Föll (Iron, Steel and Swords script)